Sie haben Fragen zu dieser Behandlung?

Vielen Dank für Ihr Interesse
*Pflichtfelder

Ellen

Patientenalter 54 Jahre
Beginn 1997
Behandlungsaufwand Aufwändig
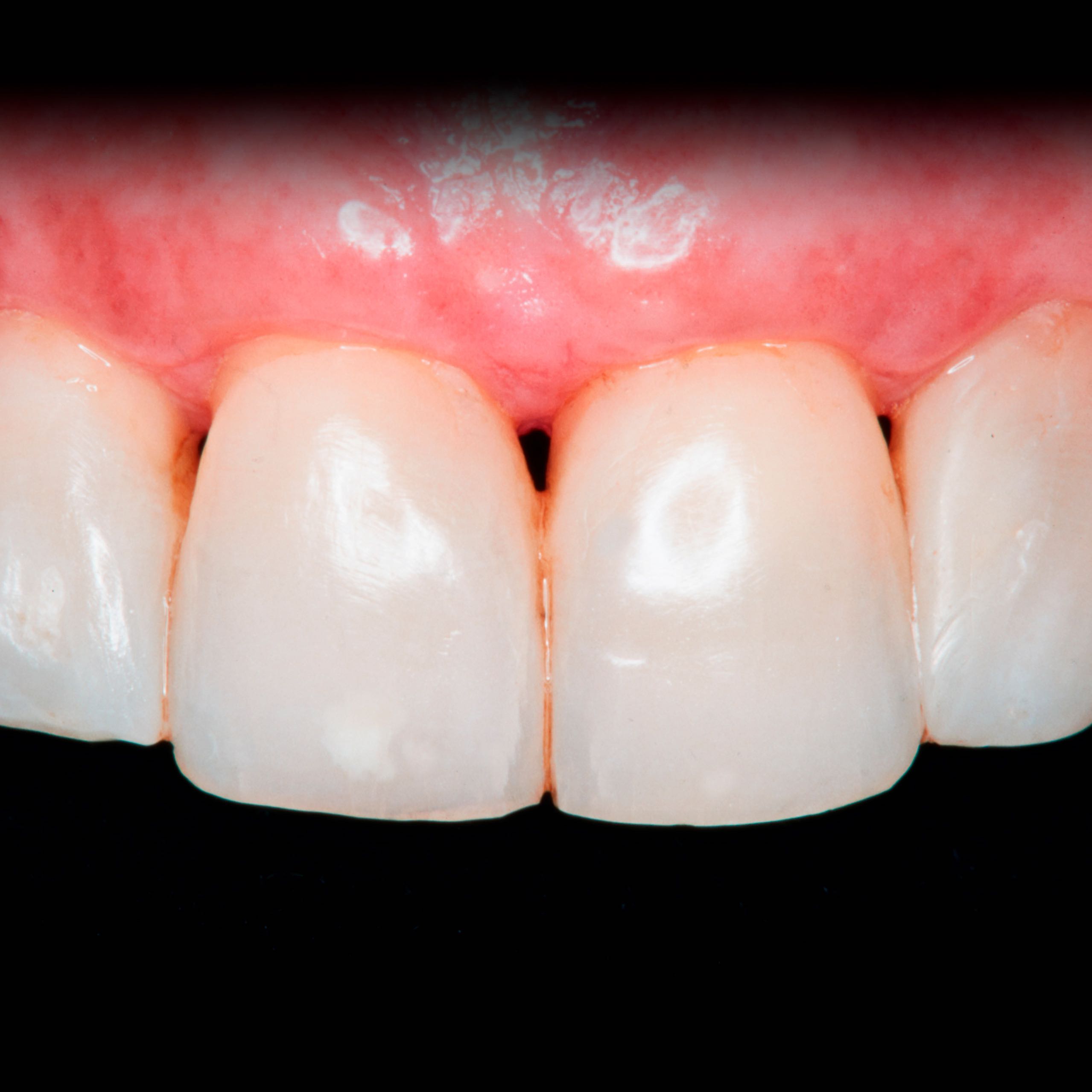
Ausgangssituation

Meine Geschichte

Ich hatte über mehrere Jahre eine ausgeprägte Parodontose und hässliche lange Zähne ...

mehr lesen

Meine
Erwartungen

Nach den frustrierenden Zahnarzterlebnissen waren meine Erwartungen gering. Wenn ich mir etwas wünschen könnte, dann normale Zahnproportionen, irgendwie eine Deckung der Zahnhälse und Verkleinern der schwarzen Dreiecke. Schöne Zähne und schönes Lächeln ohne die Zähne abschleifen zu lassen. Das war mein Traum.

Zahnärztliches Risiko

  • Karies
  • Parodontitis
  • Funktion
  • Iatrogen
  • Patientenrisiko
  • Behandlungsrisiko

Fazit Risikobewertung

Eine sehr schwierige Ausgangslage bei ausgeprägeter über Jahre hinweg bestehender Porodontits, hoher Weichgewebe- und Knochenverlust, unregelmäßiger Zahnfleischverlauf, freiliegende Zahnhälse mit hohen biologischen Kosten bei einem Misserfolg. Durch die leicht dreieckige Zahnform als zusätzliche Erschwernis ein insgesamt sehr schwer zu erreichendes Behandlungsziel. Die Geduld und das Verständnis der Patientin ist für diese besondere Ausgangslage besonders hilfreich. Ein wichtige Voraussetzung zum Gelingen einer solchen Arbeit. Mein Dank gilt allen Beteiligten. 

Bei Behandlungsbeginn

  • Hoher Weichgewebe- und Knochenverlust
  • Unregelmäßiger Zahnfleischverlauf
  • Freiliegende Zahnhälse
  • Dreieckige Zahnform

Therapie

  • Ausgangssituation vor Parodontalbehandlung
  • Rezessionsdeckung mit Knochen- und Gewebeaufbau (Spendergewebe aus dem Gaumen) (Geführte Geweberegeneration GTR).
  • Anpassen der Zahnform
Auswahl zurücksetzen
Gesamtbehandlungszeit: 9 Monate

Zeitbedarf
der Behandlung*

* Je nach Ausgangslage des Patienten unterschiedlich 

  • Vorbehandlungsphase
    4 Monate

    07/1997

    Untersuchung, Anfertigung von Röntgenaufnahmen, Prodontalbefund (Zahnfleischtaschenmessung) Abformungen von Ober-und Unterkiefer,  Funktionsdiagnostik (Aufbisses und Kieferbewegungen), Fotostatus

  • 08/1997

    Professionelle Zahnreinigung; Einüben einer auf die Situation angepassten Zahnreinigungs-
    Technik mit individuellen Hilfsmitteln

  • 08/1997

    Parodontaldiagnostik, Funktionsuntersuchung des Aufbisses und der Kieferbewegungen

  • 08/97

    Parodontalbehandlung

  • Hauptbehandlungsphase
    6 Monate

    11/1997

    Knochen- und Weichgewebeaufbau mit Spendergewebe aus dem Gaumen

  • 05/1998

    Anpassen der Zahnform an die neue Gewebesituation zum Sichern und Verbessern des Behandlungsergebnisses

  • Rücküberweisung zum Hauszahnarzt

    Nach Abschluss der Behandlung wurde die Patientin zu ihrem Hauszahnarzt zurück überweisen

Mein Fazit

Ich bin so glücklich. Das Ergebnis hat mich sehr positiv überrascht. Besonders nach den vielen Rückschlägen die ich bei Behandlungsversuchen erlitten hatte. Da ich geschäftlich täglich im Kundenkontakt stehe fühle ich mich jetzt richtig wohl und viel sicherer. Es ist war für mich ein langer Weg. Er hat sich absolut gelohnt. Ich habe viel positives Feedback aus meinem privaten und geschäftlichen Umfeld erhalten. Ich bin äußerst zufrieden und lache wieder gerne und viel.

VORHER
NACHHER

Zuletzt angesehen