Meine Geschichte
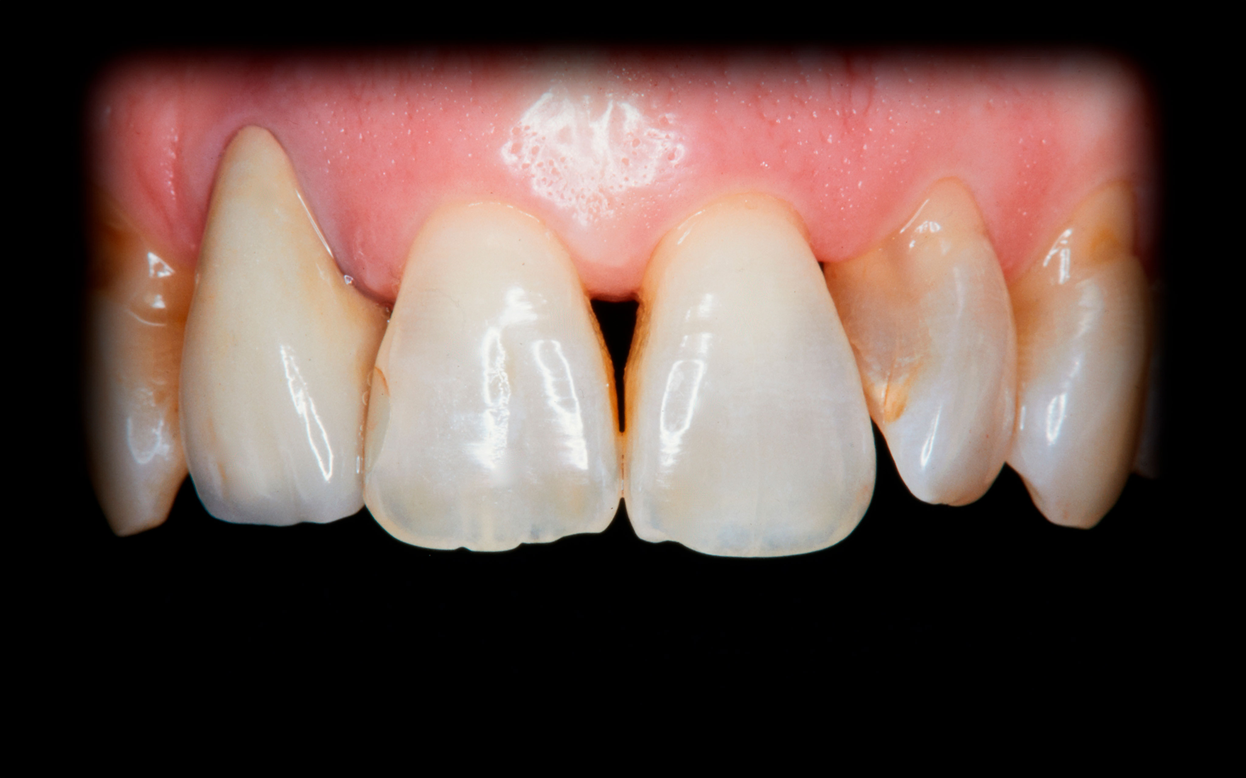
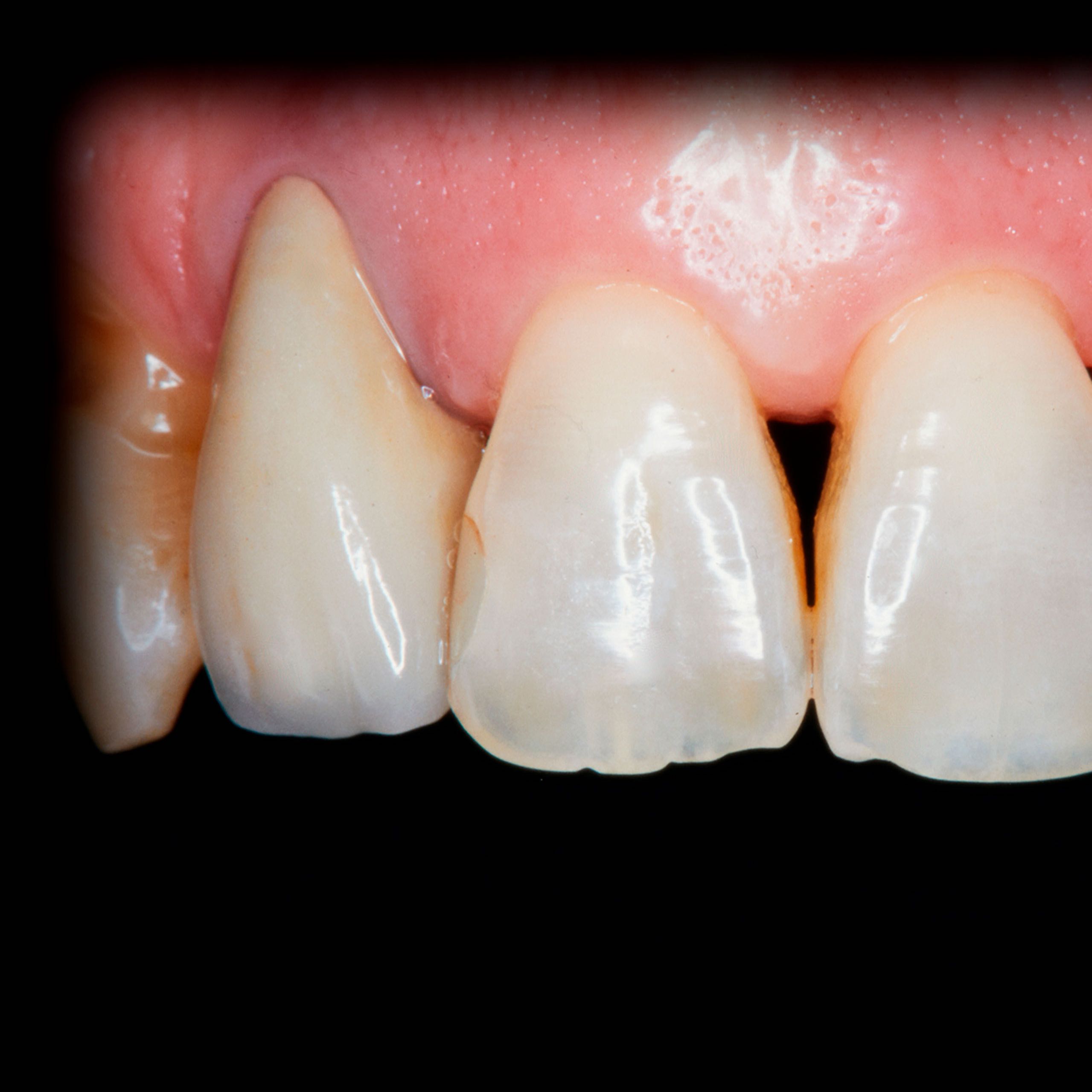
Mein rechter seitlicher Schneidezahn wackelte ganz stark. Da wurde in der Vergangenheit schon viel ...
Als unser Patient erhalten Sie exklusiv die Mobiltelefonnummer Ihres behandelnden Zahnarztes. Er ist „rund um die Uhr“ für Sie da.
Ausgangssituation
Mein rechter seitlicher Schneidezahn wackelte ganz stark. Da wurde in der Vergangenheit schon viel ...
Wenn der seitliche Schneidezahn nicht raus müsste, das würde mich glücklich machen. Der unregelmäßige Zahnfleischverlauf sollte beseitigt werden. Also auf beiden Seiten gleich verlaufen. Und natürlich die schwarzen Dreiecke sollten weg. Ich wünschte nicht mehr so alt auszusehen und so hässliche Zähne zu haben.
Es lag ein schwieriges, aufwendiges und anspruchsvoll zu erreichendes Behandlungsziel vor. Die Wünsche und Erwartungen der Patienten waren besonders hoch. Gleichermaßen erschwerten die anatomischen Gegebenheiten, wie der massive Gewebe- und Knochenverlust das Erreichen des gewünschten Ergebnisses. Nach der zwingenden Zahnentfernung würde ein riesen Loch im Knochen übrigbleiben. Das zusätzlich fehlende Gewebe würde uns noch weiter von unserem Ziel entfernen. Die dreieckige Zahnformen, die Säure- und Putzschäden (Erosionen), keilförmige Defekte und Verfärbungen stellten ein mittleres Behandlungsrisiko dar.
9 Monate
Untersuchung, Anfertigung von Röntgenbildern, Fotos, Parodontalbefund, Abformungen Ober- und Unterkiefer, Funktionsuntersuchung des Aufbisses und der Kieferbewegungen
Professionelle Zahnreinigung. Einüben der für mich idealen Zahnreinigung
Karies- und Prodontitisbehandlung
Austausch des lockeren seitlichen Schneidezahnes gegen ein Implantat, mit Weichgewebeaufbau mit Gewebe aus dem Gaumen zur Verkürzung der unnatürlichen Zahnlänge und Knochenaufbau mit Eigenknochen aus dem Kieferwinkel zur Verbesserung der Einheilung des Implantates und stabilisieren des Langzeitergebnissess
Eingliederung eines Laborprovisoriums zur Gewebeausformung
Zahnaufhellung (Bleaching)
Erarbeiten der Zahnproportionen und –Dimension
Versiegelung der Erosionen und keilförmigen Defekte, Zahnform-Korrektur zur Verbesserung der Reinigungsfähigkeit und Ästhetik
Eingliederung der finalen Krone
Nach Abschluss der Behandlung wurde die Patientin zu Ihrem Hauszahnarzt zurücküberweisen
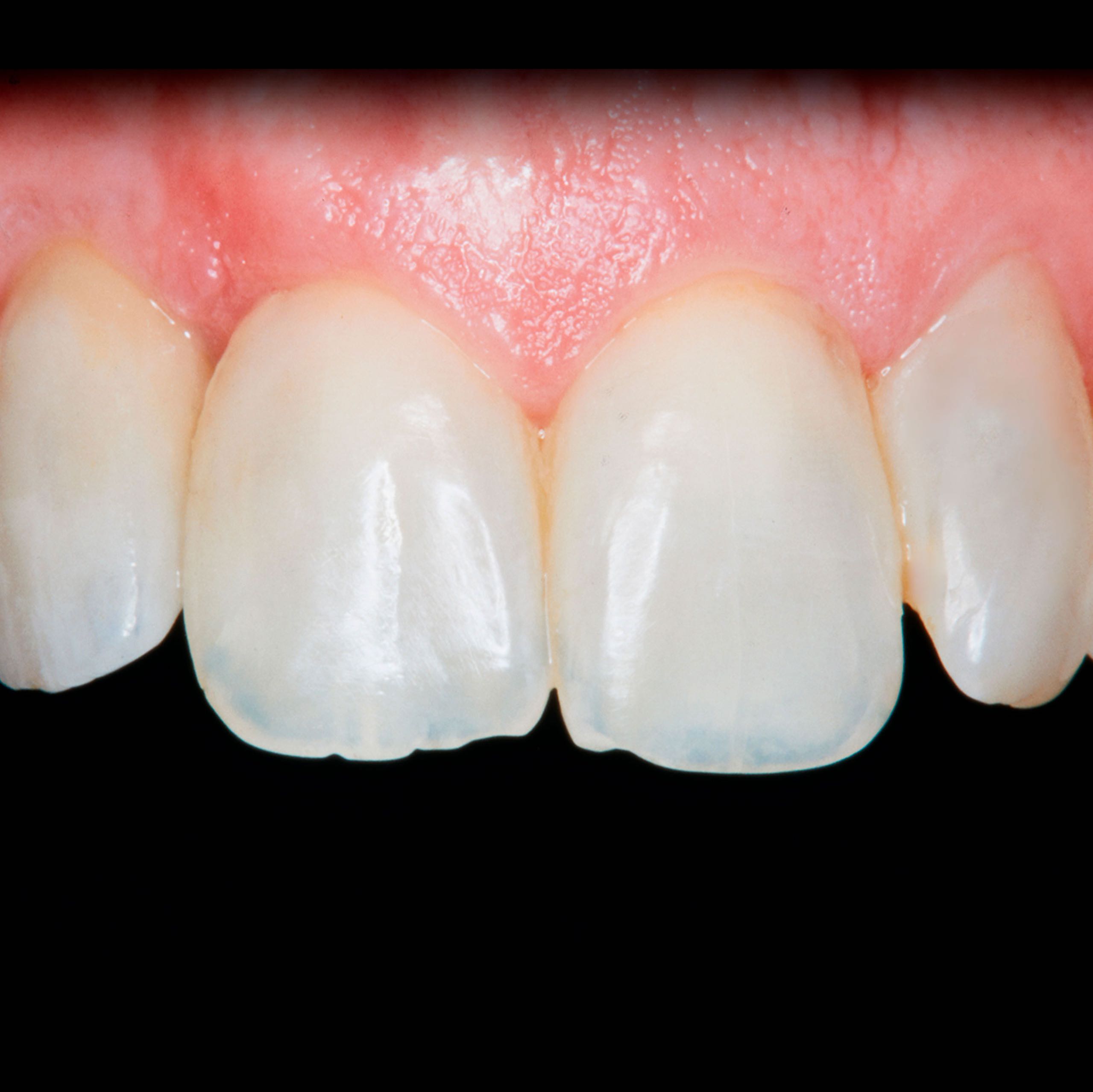
Meine Erwartungen wurden nicht nur erfüllt, sondern bei weitem übertroffen. Wenn man die Ausgangsbilder sieht und vergleicht, meint man gar nicht, dass so ein Ergebnis möglich ist. Ich bin so glücklich, wo ich doch so gerne lache.