Sie haben Fragen zu dieser Behandlung?

Vielen Dank für Ihr Interesse
*Pflichtfelder

Klaus-Joachim

Patientenalter 56 Jahre
Beginn 2015
Behandlungsaufwand Gering
Ausgangssituation

Meine Geschichte

Mich störte die Lücke zwischen den Frontzähnen. Immer wieder ...

mehr lesen

Meine
Erwartungen

Nachdem ich im Mund gezeigt bekommen hatte, dass es möglich war die Lücke einfach mit Kunststoff zu schließen, freute ich mich schon auf das Endergebnis.

Zahnärztliches Risiko

  • Karies
  • Parodontitis
  • Funktion
  • Iatrogen
  • Patientenrisiko
  • Behandlungsrisiko

Fazit Risikobewertung

Oft stellen solche Zahnlücken „Spielstellen“ für die Zunge dar. Verletzungen des Zahnfleisches entstehen oft beim Abbeißen. Viele Patienten wissen mitunter nicht, welche Möglichkeiten es mit modernen Komposit-Kunststoffen gibt. Einfach angetragen, erhält der Patient vorab eine Idee, worauf er sich freuen kann. Solche Lücken lassen sich sicher und nachhaltig schließen. Kieferorthopädische Behandlungen können so vermieden werden. Die Mundhygiene wird vereinfacht

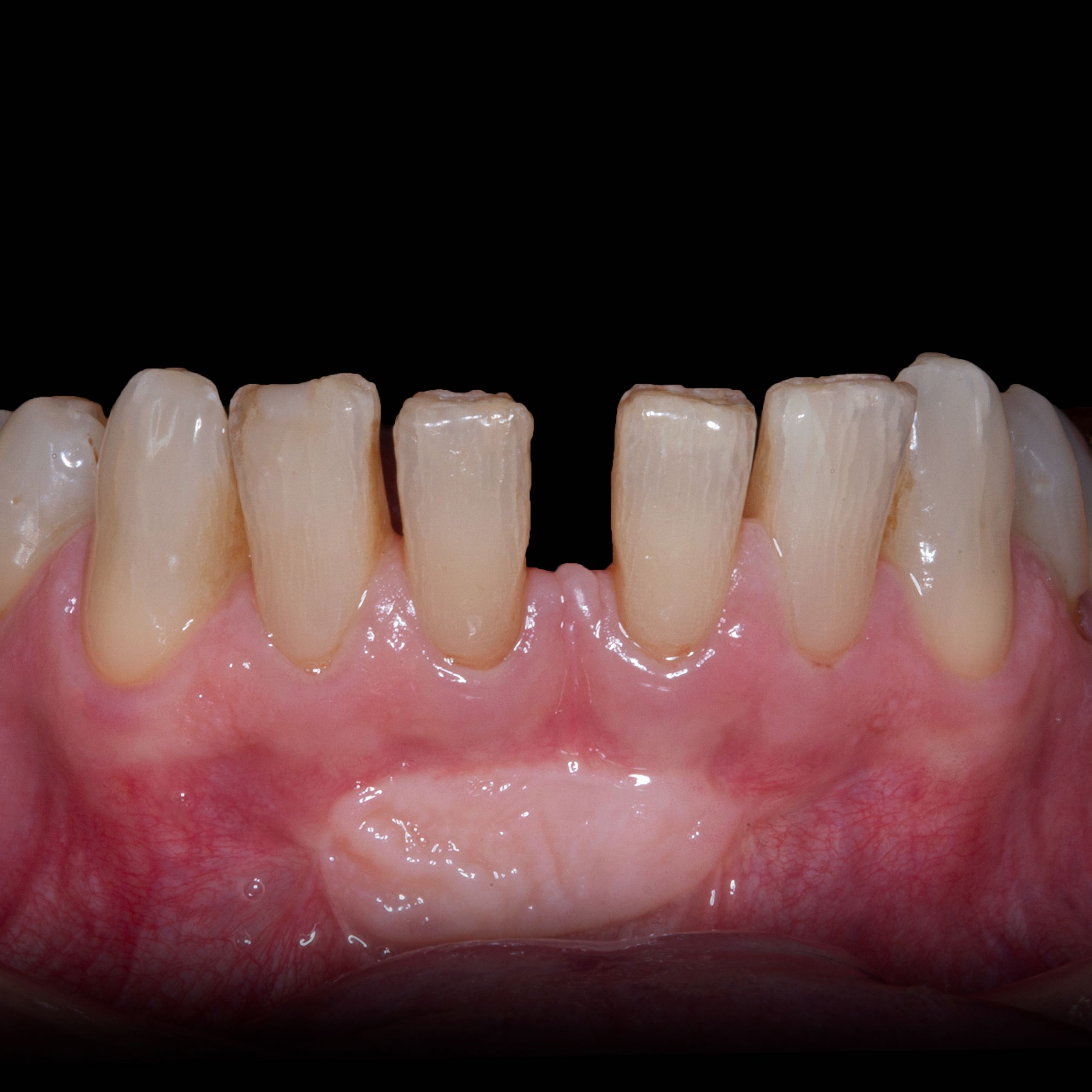
Bei Behandlungsbeginn

  • Lückig stehende Unterkiefer-Frontzähne,
  • Zahnbreitendiskrepanz zu den Oberkiefer Scheidezähnen
  • Abrasion, freiliegendes Zahnbein

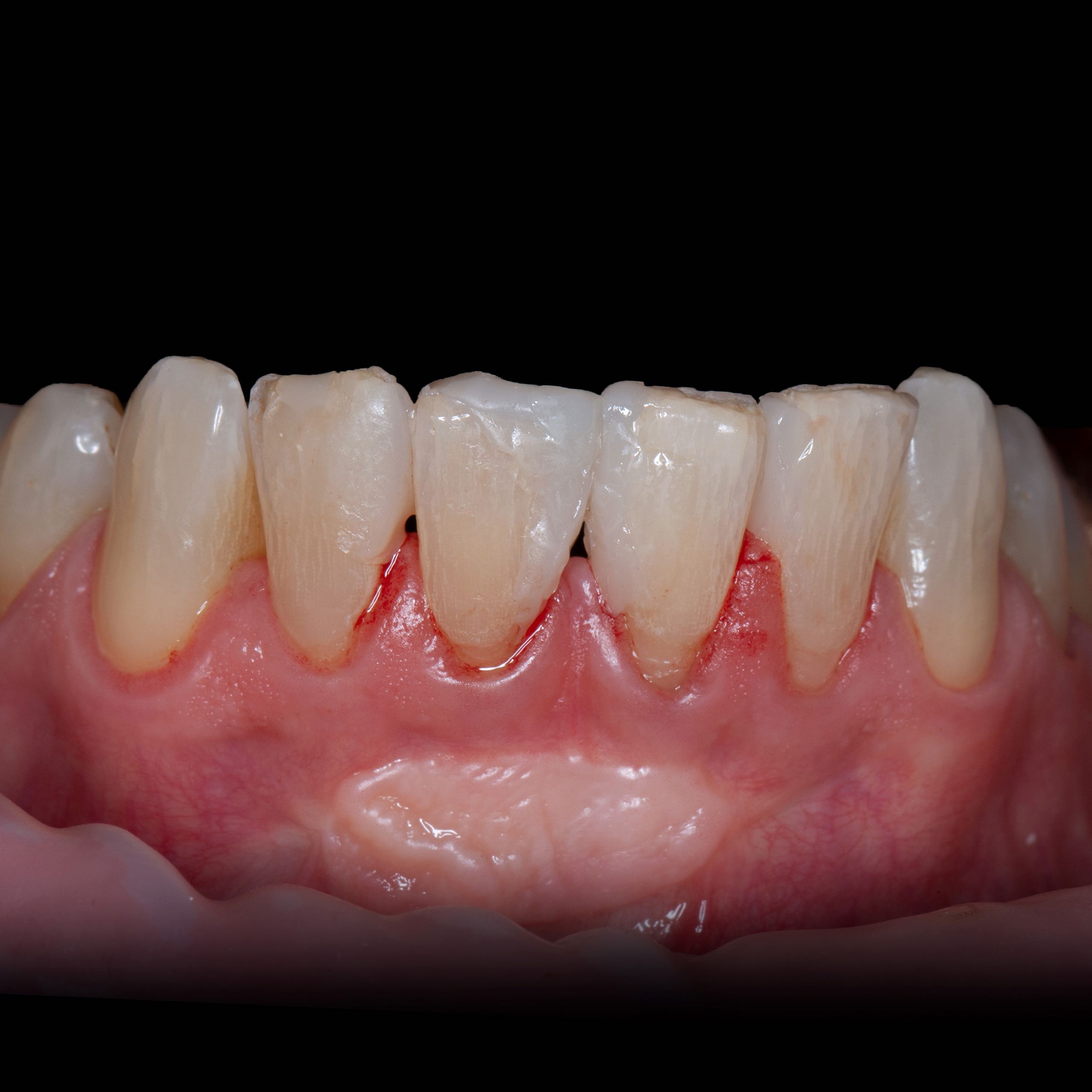
Therapie

  • Vorher: Ansicht von vorne. Geschädigte Frontzähne mit großen und kleinen Lücken zwischen den Zähnen.
  • Simulation des Lückenschlusses mit provisorischem Kunststoff.
  • Nachher: Lückenschluss mit Keramik unterstützten Kompositkunststoffen. Direkt nach der Behandlung. Eine harmonische Integration und Wiederherstellung zerstörter Zahnsubstanz und Zahnfehlstellung.
Auswahl zurücksetzen
Gesamtbehandlungszeit: Zwei Termine

Zeitbedarf
der Behandlung*

Eine Behandlung

  • Vorbehandlung
    1 Termin

    11/2015

    Testauftrag von provisorischen Kunststoff zur Darstellung des möglichen Behandlungsergebnisses

  • Hauptbehandlung
    1 Termin

    11/2015

    Aufbau der zerstörten Zahnsubstanz und Lückenschluss mit Keramik unterstützten Komposit-Kunststoffen 

  • Routine Kontrolle

    Alle 4 Montate

    Einbindung in das regelmäßige Untersuchungsprogramm mit Guided Biofilm Therapy (GBT), d.h. systematische Entfernung des anhaftenden Biofilms

Mein Fazit

Ich bin ganz begeistert von dem Ergebnis. Das Ganze ohne Kieferorthopädie. Mit der Zunge fühlt sich das fantastisch an. Als wäre es schon immer so gewesen.

VORHER
NACHHER
Die Arbeit ist seit 10 Jahren beständig

Zuletzt angesehen