Sie haben Fragen zu dieser Behandlung?

Vielen Dank für Ihr Interesse
*Pflichtfelder

Alfred

Patientenalter 54 Jahre
Beginn 2013
Behandlungsaufwand Mittel
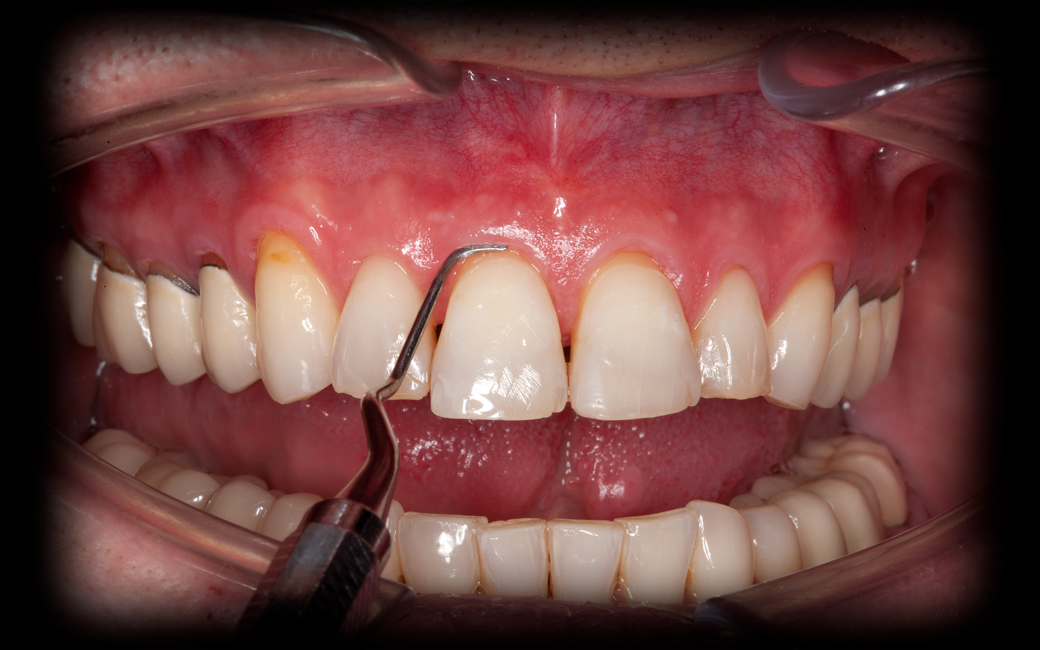
Ausgangssituation

Meine Geschichte

Die freiliegenden Zahnhälse störten mich zunehmend… 

mehr lesen

Meine
Erwartungen

Ich erhoffte mir die Deckung der freiliegenden Zahnhälse im Oberkiefer, in einer Sitzung. Wenn möglich sollte die Rezessionsdeckung ohne Zahnfleischentnahme aus dem Gaumen erfolgen. 

Zahnärztliches Risiko

  • Karies
  • Parodontitis
  • Funktion
  • Iatrogen
  • Patientenrisiko
  • Behandlungsrisiko

Fazit Risikobewertung

Rezessionen liegen bei ca. 25 Prozent der Patienten ab 40 Jahren vor. Mehrere Rezessionen in einer Behandlung zu decken bedeutet immer einen erhöhten Aufwand und eine umfassende Planung. Moderne Materialien ersparen uns in bestimmten Fällen die Gewebeentnahme aus dem Gaumen. Die Rezessionsdeckungen nach Art der „Pinhole Technique“ ist ein dieser Techniken. Der Gewebeersatz erfolgt mit Kollagenstreifen. Der Erfolg hängt von den anatomischen Voraussetzungen und dem Ausmaß der Rezession ab. Die Erfolgsrate bei diesen mikrochirurgischen Behandlungen liegt bei 85-100 Prozent. Die vollständige Heilung bedarf einige Wochen. 

Bei Behandlungsbeginn

  • Freiliegende Zahnhälse
  • Funktionell überbelastete Frontzähne
  • Schmelzfrakturen an den Schneidekanten

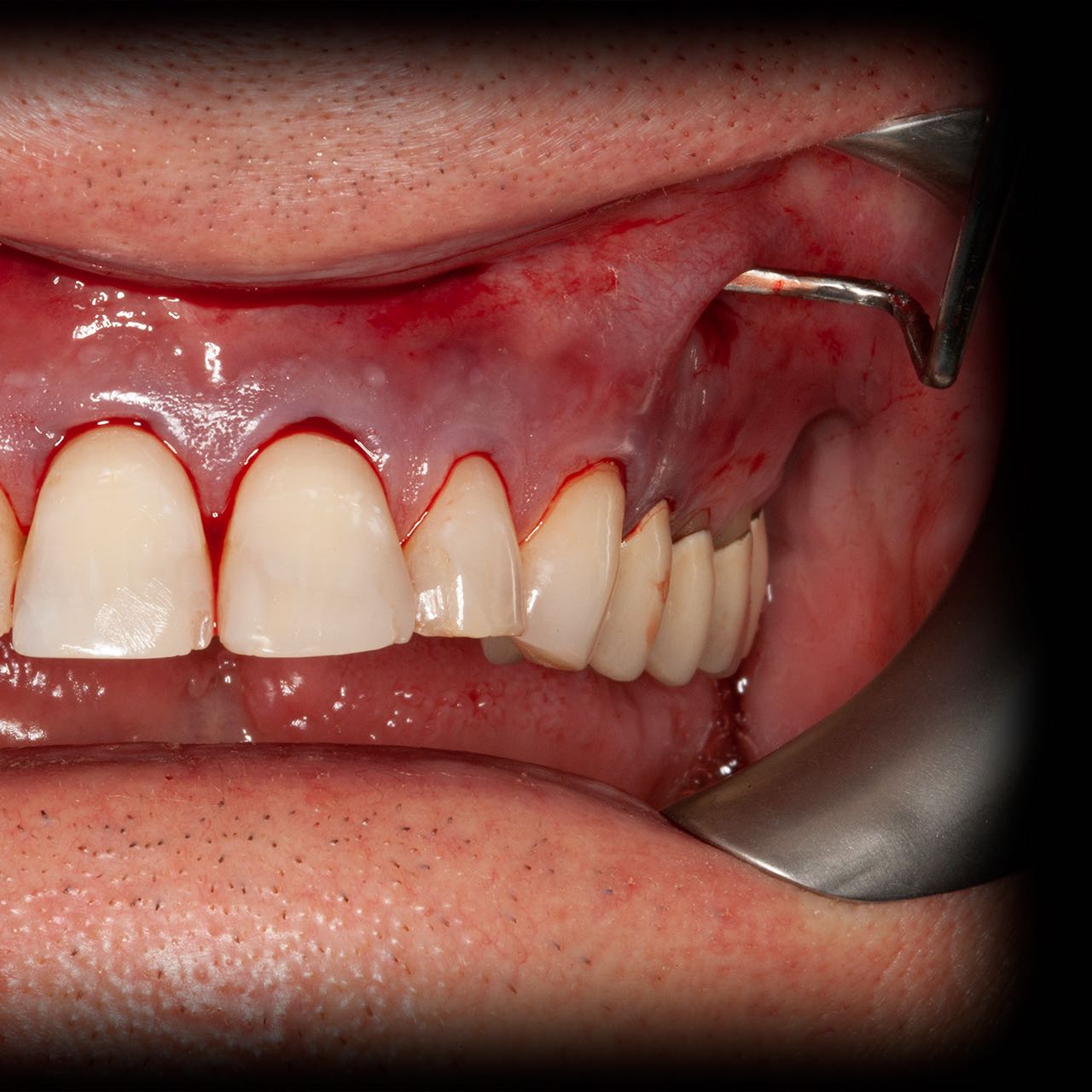
Therapie

Operationsbilder Auch Operationsbilder anzeigen
  • Zahnfleischaufbau, Deckung der freiliegenden Zahnhälse mit Bio-Material
Auswahl zurücksetzen
Gesamtbehandlungszeit: 3 Woche

Zeitbedarf
der Behandlung*

1 Tag

  • Vorbehandlung
    12/2013

    12/2013

    Professionelle Mundhygiene und Entfernung des Biofilms über sowie unter dem Zahnfleisch (GBT)

  • Hauptbehandlung
    12/2013

    12/2013

    Abdeckung der freiliegenden Zahnhälse (Rezessionsdeckung)

  • Routine Kontrolle

    Einbindung in das regelmäßige Untersuchungsprogramm mit Guided Biofilm Therapy (GBT), d.h. systematische Entfernung des anhaftenden Biofilm im Rahmen der professionellen Prophylaxe.

Mein Fazit

Ich bin voll zufrieden mit dem Ergebnis. Die Weihnachtstage konnte ich sehr gut für die Heilungsphase nutzten. Ein weiterer Vorteil war, dass ich beim Essen aufpassen musst. Das war in der Weihnachtszeit besonders hilfreich.  

VORHER
NACHHER
Die Arbeit ist seit 13 Jahren beständig

Zuletzt angesehen